Non-Hodgkin lymphoma

Non-Hodgkin lymphoma
Other namesNon-Hodgkin disease
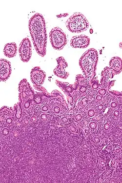
Micrograph of mantle cell lymphoma, a type of non-Hodgkin lymphoma. Terminal ileum. H&E stain.
SpecialtyHematology and oncology
SymptomsEnlarged lymph nodes, fever, night sweats, weight loss, tiredness, itching[1]
Usual onset65–75 years old[2]
Risk factorsPoor immune function, autoimmune diseases, Helicobacter pylori infection, hepatitis C, obesity, Epstein-Barr virus infection[1][3]
Diagnostic methodBone marrow or lymph node biopsy[1]
TreatmentChemotherapy, radiation, immunotherapy, targeted therapy, stem cell transplantation, surgery, watchful waiting[1]
PrognosisFive-year survival rate 71% (USA)[2]
Frequency4.3 million (affected during 2015)[4]
Deaths231,400 (2015)[5]

Non-Hodgkin lymphoma (NHL), also known as non-Hodgkin's lymphoma, is a group of blood cancers that includes all types of lymphomas except Hodgkin lymphomas.[1] Symptoms include enlarged lymph nodes, fever, night sweats, weight loss, and tiredness.[1] Other symptoms may include bone pain, chest pain, or itchiness.[1] Some forms are slow-growing while others are fast-growing.[1] Unlike Hodgkin lymphoma, which spreads contiguously, NHL is largely a systemic illness.[6]

Signs and symptoms

The signs and symptoms of non-Hodgkin lymphoma vary depending upon its location within the body. Symptoms include enlarged lymph nodes, fever, night sweats, weight loss, and tiredness. Other symptoms may include bone pain, chest pain, or itchiness. Some forms are slow growing, while others are fast growing.[1] Enlarged lymph nodes may cause lumps to be felt under the skin when they are close to the surface of the body. Lymphomas in the skin may also result in lumps, which are commonly itchy, red, or purple. Lymphomas in the brain can cause weakness, seizures, problems with thinking, and personality changes.[7]

While an association between non-Hodgkin lymphoma and endometriosis has been described,[8] these associations are tentative.[9]

Diagnosis

Tests for non-Hodgkin lymphoma include;

  • Complete blood count (CBC).
  • Blood chemistry studies.
  • Hepatitis B and hepatitis C test.
  • HIV test.
  • CT scan (CAT scan).
  • PET scan (positron emission tomography scan).
  • Bone marrow aspiration and biopsy.

If cancer is found, the following tests may be done to study the cancer cells:

  • Immunohistochemistry.
  • Cytogenetic analysis.
  • Immunophenotyping.

Other tests and procedures may be done depending on the signs and symptoms seen and where the cancer forms in the body.[10][11]

Causes

Lymphomas are types of cancer that develop from lymphocytes, a type of white blood cell.[2] Risk factors include poor immune function, autoimmune diseases, Helicobacter pylori infection, hepatitis C, obesity, and Epstein–Barr virus infection.[1][3] The World Health Organization classifies lymphomas into five major groups, including one for Hodgkin lymphoma.[12] Within the four groups for NHL are over 60 specific types of lymphoma.[13][14] Diagnosis is by examination of a bone marrow or lymph node biopsy.[1] Medical imaging is done to help with cancer staging.[1]

The many different forms of lymphoma probably have different causes. These possible causes and associations with at least some forms of NHL include:

Familial component

Familial lymphoid cancer is rare. The familial risk of lymphoma is elevated for multiple lymphoma subtypes, suggesting a shared genetic cause. However, a family history of a specific subtype is most strongly associated with risk for that subtype, indicating that these genetic factors are subtype specific. Genome-wide association studies have successfully identified 67 single-nucleotide polymorphisms from 41 loci, most of which are subtype specific.[27]

HIV/AIDS

The Centers for Disease Control and Prevention (CDC) included certain types of non-Hodgkin lymphoma as AIDS-defining cancers in 1987.[28] Immune suppression rather than HIV itself is implicated in the pathogenesis of this malignancy, with a clear correlation between the degree of immune suppression and the risk of developing NHL. Additionally, other retroviruses, such as HTLV, may be spread by the same mechanisms that spread HIV, leading to an increased rate of co-infection.[29] The natural history of HIV infection has greatly changed over time. As a consequence, rates of non-Hodgkin lymphoma (NHL) in people infected with HIV has significantly declined in recent years.[17]

Treatment

Treatment depends on whether the lymphoma is slow or fast growing and if it is in one area or many areas.[1] Treatments may include chemotherapy, radiation, immunotherapy, targeted therapy, stem-cell transplantation, surgery, or watchful waiting.[1] If the blood becomes overly thick due to high numbers of antibodies, plasmapheresis may be used.[1] Radiation and some chemotherapy, however, increase the risk of other cancers, heart disease, or nerve problems over the subsequent decades.[1]

The traditional treatment of NHL includes chemotherapy, radiotherapy, and stem-cell transplants.[30][31] There have also been developments in immunotherapy used in the treatment of NHL.[32]

Chemotherapy

The most common chemotherapy used for B-cell non-Hodgkin lymphoma is R-CHOP, which is a regimen of four drugs (cyclophosphamide, doxorubicin, vincristine, and prednisone) plus rituximab.[33]

R-CHP with polatuzumab vedotin, an antibody-drug conjugate, was included as a category 1 preferred regimen for first-line DLBCL by the National Comprehensive Cancer Network in 2023.[34]

Treatment complications

If participants receive stem-cell transplants, they can develop a graft-versus-host disease. When compared with placebo for treating immune mediated inflammation post transplantation and in autoimmunity, mesenchymal stromal cells (MSCs) may reduce the all-cause mortality if they are used for a therapeutic reason.[35] Moreover, the therapeutic use of MSCs may increase the complete response of acute and chronic GvHD, but the evidence is very uncertain.[35] The evidence suggests that MSCs for prophylactic reason result in little to no difference in the all-cause mortality, in the relapse of malignant diseases, and in the incidence of acute GvHD.[35] The evidence suggests that MSCs for prophylactic reason reduce the incidence of chronic GvHD.[35]

Platelet transfusions may be necessary for those who receive chemotherapy or undergo a stem cell transplantation due to the higher risk for bleeding. When comparing therapeutic/non-prophylactic platelet transfusions to prophylactic platelet transfusions there is little to no difference in the mortality secondary to bleeding and they may result in a slight reduction in the number of days on which a significant bleeding event occurred.[36] The evidence suggests that therapeutic platelet transfusions result in a large increase in the number of people with at least one significant bleeding event and they likely result in a large reduction in the number of platelet transfusions.[36][37]

Other

It is unclear if including aerobic physical exercise, in addition to the standard treatment for adult patients with haematological malignancies, is effective at reducing anxiety and serious adverse effects.[38] Aerobic physical exercises may result in little to no difference in the mortality, in the quality of life and in the physical functioning.[38] These exercises may result in a slight reduction in depression and most likely reduce fatigue.[38]

Prognosis

Prognosis depends on the subtype, the staging, a person's age, and other factors. Across all subtypes, 5-year survival for NHL is 71–74%.[39][40][41]

Epidemiology

Globally, as of 2010, there were 210,000 deaths, up from 143,000 in 1990.[42]

In 2015, about 4.3 million people had non-Hodgkin lymphoma, and 231,400 (5.4%) died.[4][5] In the United States, 2.1% of people are affected at some point in their life.[2] The most common age of diagnosis is between 65 and 75 years old.[2] The five-year survival rate in the United States is 71%.[2]

Rates of non-Hodgkin lymphoma increase steadily with age.[21] Up to 45 years NHL is more common among males than females.[43]

Australia

Around 6600 people are diagnosed with non-Hodgkin lymphoma in Australia each year.[44]

Canada

In Canada NHL is the fifth most common cancer in males and sixth most common cancer in females. The lifetime probability of developing a lymphoid cancer is 1 in 44 for males, and 1 in 51 for females.[45]

United Kingdom

On average, according to data for the 2014–2016 period, around 13,900 people are diagnosed with NHL yearly. It is the sixth most common cancer in the UK, and is the eleventh most common cause of cancer death accounting for around 4,900 deaths per year.[46]

United States

Age adjusted data from 2012 to 2016 shows about 19.6 cases of NHL per 100,000 adults per year, 5.6 deaths per 100,000 adults per year, and around 694,704 people living with non-Hodgkin lymphoma. About 2.2 percent of men and women will be diagnosed with NHL at some point during their lifetime.[47]

The American Cancer Society lists non-Hodgkin lymphoma as one of the most common cancers in the United States, accounting for about 4% of all cancers.[48]

History

While consensus was rapidly reached on the classification of Hodgkin lymphoma, there remained a large group of very different diseases requiring further classification. The Rappaport classification, proposed by Henry Rappaport in 1956 and 1966, became the first widely accepted classification of lymphomas other than Hodgkin. Following its publication in 1982, the Working Formulation became the standard classification for this group of diseases. It introduced the term non-Hodgkin lymphoma or NHL and defined three grades of lymphoma.

NHL consists of many different conditions that have little in common with each other. They are grouped by their aggressiveness. Less aggressive non-Hodgkin lymphomas are compatible with a long survival while more aggressive non-Hodgkin lymphomas can be rapidly fatal without treatment. Without further narrowing, the label is of limited usefulness for people or doctors. The subtypes of lymphoma are listed there.

Nevertheless, the Working Formulation and the NHL category continue to be used by many. To this day, lymphoma statistics are compiled as Hodgkin's versus non-Hodgkin lymphomas by major cancer agencies, including the US National Cancer Institute in its SEER program, the Canadian Cancer Society and the IARC.

References

  1. ^ a b c d e f g h i j k l m n o p "Adult Non-Hodgkin Lymphoma Treatment (PDQ®)–Patient Version". NCI. 3 August 2016. Archived from the original on 16 August 2016. Retrieved 13 August 2016.
  2. ^ a b c d e f "SEER Stat Fact Sheets: Non-Hodgkin Lymphoma". NCI. April 2016. Archived from the original on 6 July 2014. Retrieved 13 August 2016.
  3. ^ a b World Cancer Report 2014. World Health Organization. 2014. pp. Chapter 2.4, 2.6. ISBN 978-92-832-0429-9.
  4. ^ a b Vos T, et al. (8 October 2016). "Global, regional, and national incidence, prevalence, and years lived with disability for 310 diseases and injuries, 1990–2015: a systematic analysis for the Global Burden of Disease Study 2015". Lancet. 388 (10053): 1545–1602. doi:10.1016/S0140-6736(16)31678-6. PMC 5055577. PMID 27733282.
  5. ^ a b Wang H, et al. (8 October 2016). "Global, regional, and national life expectancy, all-cause mortality, and cause-specific mortality for 249 causes of death, 1980–2015: a systematic analysis for the Global Burden of Disease Study 2015". Lancet. 388 (10053): 1459–1544. doi:10.1016/s0140-6736(16)31012-1. PMC 5388903. PMID 27733281.
  6. ^ Kyriakidis I, Pelagiadis I, Stratigaki M, Katzilakis N, Stiakaki E (May 2024). "B–NHL Cases in a Tertiary Pediatric Hematology—Oncology Department: A 20-Year Retrospective Cohort Study". Life. 14 (5): 633. Bibcode:2024Life...14..633K. doi:10.3390/life14050633. PMC 11122206. PMID 38792653.
  7. ^ "Non-Hodgkin Lymphoma". Retrieved 23 June 2022.
  8. ^ Audebert A (April 2005). "[Women with endometriosis: are they different from others?]". Gynécologie, Obstétrique & Fertilité (in French). 33 (4): 239–46. doi:10.1016/j.gyobfe.2005.03.010. PMID 15894210.
  9. ^ Somigliana E, Vigano' P, Parazzini F, Stoppelli S, Giambattista E, Vercellini P (May 2006). "Association between endometriosis and cancer: a comprehensive review and a critical analysis of clinical and epidemiological evidence". Gynecologic Oncology. 101 (2): 331–41. doi:10.1016/j.ygyno.2005.11.033. PMID 16473398.
  10. ^ "Non-Hodgkin Lymphoma Treatment - NCI". 24 November 2023.
  11. ^ "Non-Hodgkin lymphoma - Diagnosis". 23 October 2017.
  12. ^ "Adult Non-Hodgkin Lymphoma Treatment (PDQ®)–Health Professional Version". NCI. 1 June 2016. Archived from the original on 12 August 2016. Retrieved 13 August 2016.
  13. ^ "Different types of non Hodgkin lymphoma". Cancer Research UK. Archived from the original on 14 August 2016. Retrieved 13 August 2016.
  14. ^ Bope ET, Kellerman RD (2015). Conn's Current Therapy 2016. Elsevier Health Sciences. p. 878. ISBN 978-0-323-35535-3. Archived from the original on 10 September 2017.
  15. ^ Maeda E, Akahane M, Kiryu S, Kato N, Yoshikawa T, Hayashi N, Aoki S, Minami M, Uozaki H, Fukayama M, Ohtomo K (2009). "Spectrum of Epstein-Barr virus-related diseases: A pictorial review". Japanese Journal of Radiology. 27 (1): 4–19. doi:10.1007/s11604-008-0291-2. PMID 19373526. S2CID 6970917.
  16. ^ Peveling-Oberhag J, Arcaini L, Hansmann ML, Zeuzem S (2013). "Hepatitis C-associated B-cell non-Hodgkin lymphomas. Epidemiology, molecular signature and clinical management". Journal of Hepatology. 59 (1): 169–177. doi:10.1016/j.jhep.2013.03.018. PMID 23542089.
  17. ^ a b Pinzone MR, Fiorica F, Di Rosa M, Malaguarnera G, Malaguarnera L, Cacopardo B, Zanghì G, Nunnari G (October 2012). "Non-AIDS-defining cancers among HIV-infected people". European Review for Medical and Pharmacological Sciences. 16 (10): 1377–88. PMID 23104654.
  18. ^ Kramer S, Hikel SM, Adams K, Hinds D, Moon K (2012). "Current Status of the Epidemiologic Evidence Linking Polychlorinated Biphenyls and Non-Hodgkin Lymphoma, and the Role of Immune Dysregulation". Environmental Health Perspectives. 120 (8): 1067–75. Bibcode:2012EnvHP.120.1067K. doi:10.1289/ehp.1104652. PMC 3440083. PMID 22552995.
  19. ^ Zani C, Toninelli G, Filisetti B, Donato F (2013). "Polychlorinated biphenyls and cancer: an epidemiological assessment". J. Environ. Sci. Health C. 31 (2): 99–144. Bibcode:2013JESHC..31...99Z. doi:10.1080/10590501.2013.782174. PMID 23672403. S2CID 5294247.
  20. ^ Lauby-Secretan B, Loomis D, Grosse Y, El Ghissassi F, Bouvard V, Benbrahim-Tallaa L, Guha N, Baan R, Mattock H, Straif K (2013). "Carcinogenicity of polychlorinated biphenyls and polybrominated biphenyls". Lancet Oncology. 14 (4): 287–288. doi:10.1016/s1470-2045(13)70104-9. PMID 23499544.
  21. ^ a b Tobias J, Hochhauser D (2015). Cancer and its Management (7th ed.). Wiley-Blackwell. ISBN 978-1-118-46871-5.
  22. ^ Arnold S Freedman, Lee M Nadler (2000). "Chapter 130: Non–Hodgkin's Lymphomas". In Kufe DW, Pollock RE, Weichselbaum RR, Bast RC Jr, Gansler TS, Holland JF, Frei E III (eds.). Holland-Frei Cancer Medicine (5th ed.). Hamilton, Ont: B.C. Decker. ISBN 1-55009-113-1. Archived from the original on 10 September 2017.
  23. ^ Subik MK, Herr M, Hutchison RE, Kelly J, Tyler W, Merzianu M, Burack WR (November 2014). "A Highly Curable Lymphoma Occurs Preferentially in the Proximal Tibia of Young Patients". Modern Pathology. 27 (11): 1430–1437. doi:10.1038/modpathol.2014.51. ISSN 0893-3952. PMC 4201907. PMID 24743213.
  24. ^ Stein ME, Lewis DC, Gershuny AR, Quigley MM, Zaidan J, Danieli NS, Whelan J, Subramanian R (April 2003). "Trauma as an etiologic factor of primary bone lymphoma: a report of 4 cases". Journal of B.U.ON. 8 (2): 163–166. ISSN 1107-0625. PMID 17472245.
  25. ^ Palraj B, Paturi A, Stone RG, Alvarez H, Sebenik M, Perez MT, Bush LM (1 November 2010). "Soft Tissue Anaplastic Large T-Cell Lymphoma Associated with a Metallic Orthopedic Implant: Case Report and Review of the Current Literature". The Journal of Foot and Ankle Surgery. 49 (6): 561–564. doi:10.1053/j.jfas.2010.08.009. ISSN 1067-2516. PMID 20870426.
  26. ^ Popplewell L, Chang K, Olevsky O, Nademanee A, Forman S (16 November 2004). "Primary Anaplastic Large Cell Lymphoma of the Breast Occurring in Patients with Silicone Breast Implants". Blood. 104 (11): 4563. doi:10.1182/blood.V104.11.4563.4563. ISSN 0006-4971.
  27. ^ Cerhan JR, Slager SL (November 2015). "Familial predisposition and genetic risk factors for lymphoma". Blood. 126 (20): 2265–73. doi:10.1182/blood-2015-04-537498. PMC 4643002. PMID 26405224.
  28. ^ Centers for Disease Control (CDC) (August 1987). "Revision of the CDC surveillance case definition for acquired immunodeficiency syndrome. Council of State and Territorial Epidemiologists; AIDS Program, Center for Infectious Diseases" (PDF). MMWR Supplements. 36 (1): 1S – 15S. PMID 3039334. Archived (PDF) from the original on 9 June 2017.
  29. ^ Lee B, Bower M, Newsom-Davis T, Nelson M (2010). "HIV-related lymphoma". HIV Therapy. 4 (6): 649–659. doi:10.2217/hiv.10.54. ISSN 1758-4310.
  30. ^ "Non-Hodgkin lymphoma". Cancer Council Australia. 22 March 2019. Archived from the original on 23 August 2019. Retrieved 23 August 2019.
  31. ^ "Non-Hodgkin Lymphoma Treatment". American Cancer Society. 2019. Retrieved 23 August 2019.
  32. ^ "Immunotherapy for Non-Hodgkin Lymphoma". American Cancer Society. 2019. Retrieved 23 August 2019.
  33. ^ "Treating B-Cell Non-Hodgkin Lymphoma". American Cancer Society. 2019. Retrieved 23 August 2019.
  34. ^ "With hard-fought Polivy approval, Roche looks to shake up decades of established practice in lymphoma". Fierce Pharma.
  35. ^ a b c d Fisher SA, Cutler A, Doree C, Brunskill SJ, Stanworth SJ, Navarrete C, Girdlestone J, et al. (Cochrane Haematological Malignancies Group) (January 2019). "Mesenchymal stromal cells as treatment or prophylaxis for acute or chronic graft-versus-host disease in haematopoietic stem cell transplant (HSCT) recipients with a haematological condition". The Cochrane Database of Systematic Reviews. 1 (1): CD009768. doi:10.1002/14651858.CD009768.pub2. PMC 6353308. PMID 30697701.
  36. ^ a b Estcourt L, Stanworth S, Doree C, Hopewell S, Murphy MF, Tinmouth A, Heddle N, et al. (Cochrane Haematological Malignancies Group) (May 2012). "Prophylactic platelet transfusion for prevention of bleeding in patients with haematological disorders after chemotherapy and stem cell transplantation". The Cochrane Database of Systematic Reviews (5): CD004269. doi:10.1002/14651858.CD004269.pub3. PMID 22592695.
  37. ^ Estcourt LJ, Stanworth SJ, Doree C, Hopewell S, Trivella M, Murphy MF, et al. (Cochrane Haematological Malignancies Group) (November 2015). "Comparison of different platelet count thresholds to guide administration of prophylactic platelet transfusion for preventing bleeding in people with haematological disorders after myelosuppressive chemotherapy or stem cell transplantation". The Cochrane Database of Systematic Reviews. 2015 (11): CD010983. doi:10.1002/14651858.CD010983.pub2. PMC 4717525. PMID 26576687.
  38. ^ a b c Knips L, Bergenthal N, Streckmann F, Monsef I, Elter T, Skoetz N, et al. (Cochrane Haematological Malignancies Group) (January 2019). "Aerobic physical exercise for adult patients with haematological malignancies". The Cochrane Database of Systematic Reviews. 1 (1): CD009075. doi:10.1002/14651858.CD009075.pub3. PMC 6354325. PMID 30702150.
  39. ^ "Survival Rates and Factors That Affect Prognosis (Outlook) for Non-Hodgkin Lymphoma".
  40. ^ "Prognosis and survival for non-Hodgkin lymphoma". October 2023.
  41. ^ "Non-Hodgkin Lymphoma Treatment - NCI". 24 November 2023.
  42. ^ Lozano R, Naghavi M, Foreman K, Lim S, Shibuya K, Aboyans V, Abraham J, Adair T, Aggarwal R, Ahn SY, et al. (15 December 2012). "Global and regional mortality from 235 causes of death for 20 age groups in 1990 and 2010: a systematic analysis for the Global Burden of Disease Study 2010". Lancet. 380 (9859): 2095–128. doi:10.1016/S0140-6736(12)61728-0. hdl:10536/DRO/DU:30050819. PMC 10790329. PMID 23245604. S2CID 1541253.
  43. ^ Patte C, Bleyer A, Cairo MS (2007). "Non-Hodgkin Lymphoma". In Bleyer WA, Barr RD (eds.). Cancer in Adolescents and Young Adults (Pediatric Oncology). Springer. p. 129. doi:10.1007/978-3-540-68152-6_9. ISBN 978-3-540-40842-0.
  44. ^ "What is non-Hodgkin lymphoma?". www.leukaemia.org.au. 2023. Archived from the original on 16 July 2023. Retrieved 16 July 2023.
  45. ^ "Canadian Cancer Statistics". www.cancer.ca. Archived from the original on 25 January 2018. Retrieved 8 February 2018.
  46. ^ "Non-hodgkin lymphoma statistics". Cancer Research UK. 14 May 2015. Retrieved 24 August 2019.
  47. ^ "Cancer Stat Facts: Non-Hodgkin Lymphoma". National Cancer Institute: Surveillance, Epidemiology, and End Results (SEER) Program. Retrieved 24 August 2019.
  48. ^ "Key Statistics for Non-Hodgkin Lymphoma". www.cancer.org. Retrieved 24 August 2019.