Central veins of liver

Central veins of liver
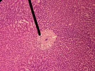
A single lobule of the liver of a pig. X 60. (Central vein not labeled, though region is visible. Central vein would be a single vein at the center of the lobule.)
human central vein
Details
Drains fromLiver sinusoid
Drains toHepatic veins
Identifiers
Latinvenae centrales hepatis
TA98A05.8.01.059
TA23065
FMA71629
Anatomical terminology

In microanatomy, the central vein of liver (or central venule)[1] is a vein at the center of each hepatic lobule.[2] It receives the blood mixed in the liver sinusoids to drain it into hepatic veins.[3]

References

  1. ^ Anatomy photo: digestive/mammal/liver3/liver2 - Comparative Organology at University of California, Davis
  2. ^ "central veins of liver - Dictionnaire médical de l'Académie de Médecine". www.academie-medecine.fr. Retrieved 2024-07-02.
  3. ^ "central veins of liver" at Dorland's Medical Dictionary