Hilum overlay sign

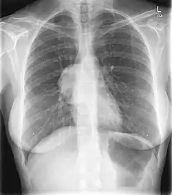
The hilum overlay sign is an imaging appearance on chest radiographs in which the outline of the hilum can be seen at the level of a mass or collection in the mid chest.[1] It implies that the mass is not in the middle mediastinum, and is either from anterior or posterior mediastinum(most of the masses arise from the anterior mediastinum).[2]
See also
References
- ^ Whitten, CR; Khan, S; Munneke, GJ; Grubnic, S (May 2007). "A diagnostic approach to mediastinal abnormalities". Radiographics. 27 (3): 657–71. doi:10.1148/rg.273065136. PMID 17495284.
- ^ Feragalli, B; Mantini, C; Patea, RL; De Filippis, F; Di Nicola, E; Storto, ML (June 2011). "Radiographic evaluation of mediastinal lines as a diagnostic approach to occult or subtle mediastinal abnormalities". La Radiologia Medica. 116 (4): 532–47. doi:10.1007/s11547-011-0658-9. PMID 21424313.