Terry-Thomas sign

Terry-Thomas sign
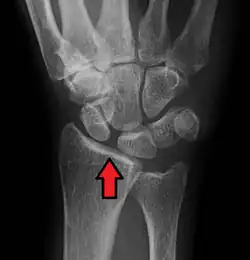
Arrow pointing to the gap between scaphoid and lunate bones. Its name derives from Terry-Thomas, who had a similar looking gap between his two front teeth
Differential diagnosisscapholunate ligament dissociation

In radiology, the Terry-Thomas sign is a scapholunate ligament dissociation on an anteroposterior view of the wrist.[1][2] Most commonly a result of a fall on the outstretched hand (FOOSH), the scapholunate ligament ruptures resulting in separation of the lunate and scaphoid bones. This burst causes the scaphoid bone to dorsally rotate.[3] A gap of more than 3mm is pathognomonic for scapholunate dissociation.[4]

The resulting separation between the scaphoid and lunate bones leaves a space on the x-ray that is similar to the gap comedian Terry-Thomas had between his front teeth. For newer radiology students who do not know who Terry-Thomas was, this finding might also be known as the David Letterman sign.[3]

References

  1. ^ Yochum, Terry R.; Rowe, Lindsay J. (2004). essentials of skeletal radiology. 609: Lippincott Williams & Wilkins. Retrieved 31 May 2018.{{cite book}}: CS1 maint: location (link)
  2. ^ Brown, David E.; Neumann, Randall D. (2004). Orthopedic Secrets. Elsevier Health Sciences. p. 185. ISBN 978-1560535416. Retrieved 31 May 2018.
  3. ^ a b Helms, Clyde A. (2005). Fundamentals of Skeletal Radiology. Elsevier Health Sciences. p. 93. ISBN 978-0721605708. Retrieved 31 May 2018.
  4. ^ Wolfson, Allan B.; Hendey, Gregory W.; Ling, Louis J.; Rosen, Carlo L. (2009). Harwood-Nuss' Clinical Practice of Emergency Medicine. Lippincott Williams & Wilkins. p. 275. ISBN 9780781789431. Retrieved 31 May 2018.